Dünyanın En İlginç Olayları

Dünyanın en ilginç olayları

  1. Sıcak ve kurak Afrika'da 18.02.1979 tarihinde Büyük Sahra çölüne kar yağdı.

    Sıcak ve kurak Afrika'da 18.02.1979 tarihinde Büyük Sahra çölüne kar yağdı.

  2. Futbolda Dünya kupası Okyanusya elemelerinde Avustralya, Amerikan Samoası'nı 31-0 yenerek bir resmi milli maçtaki en farklı skorlu galibiyeti elde etti

    Futbolda Dünya kupası Okyanusya elemelerinde Avustralya, Amerikan Samoası'nı 31-0 yenerek bir resmi milli maçtaki en farklı skorlu galibiyeti elde etti

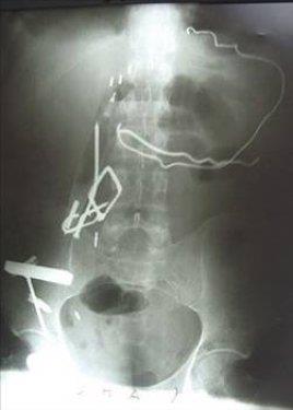
  3. Kazakistan'da 7 yaşındaki bir erkek çocuğun karnında ikizi bulundu.

    Kazakistan'da 7 yaşındaki bir erkek çocuğun karnında ikizi bulundu.

  4. Simkent şehrinde yaşayan çocuğun karnındaki şişliği fark eden okul doktorunun hastaneye başvurması sonucunda hemen ameliyata alınan çocuğun karnından saçları ve tırnakları uzamış bir cenin çıkarıldı.

    Simkent şehrinde yaşayan çocuğun karnındaki şişliği fark eden okul doktorunun hastaneye başvurması sonucunda hemen ameliyata alınan çocuğun karnından saçları ve tırnakları uzamış bir cenin çıkarıldı.

  5. İran'da, korkusunu bastırmak ve sıkıntılarından kurtulmak için madeni nesneleri yiyen genç kızın karnından ameliyatla yarım kilogram ağırlığında metal parçalar çıkarıldı.

    İran'da, korkusunu bastırmak ve sıkıntılarından kurtulmak için madeni nesneleri yiyen genç kızın karnından ameliyatla yarım kilogram ağırlığında metal parçalar çıkarıldı.

  6. 17 yaşındaki genç kızın karnından çıkarılan madeni nesnelerin arasında jilet ve çiviler de bulundu.

    17 yaşındaki genç kızın karnından çıkarılan madeni nesnelerin arasında jilet ve çiviler de bulundu.

  7. Amerika'nın Arkansas Eyaleti'nde 19 yıldır komada yatan Terry Wallis 13 haziran 2003 de hayata döndü.

    Amerika'nın Arkansas Eyaleti'nde 19 yıldır komada yatan Terry Wallis 13 haziran 2003 de hayata döndü.

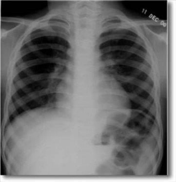
  8. Kars'ta 'canı sıkıldığı' için saçlarını yiyen bir kadının midesinde biriken 1.5 kilogram ağırlığında saç kılı, ameliyatla çıkarıldı.

    Kars'ta 'canı sıkıldığı' için saçlarını yiyen bir kadının midesinde biriken 1.5 kilogram ağırlığında saç kılı, ameliyatla çıkarıldı.

  9. İsviçreli Cece Leclere, tıp adamlarınca "megavizyon" diye adlandırılan çok üstün bir görme yeteneğine sahipti. Kumaşların, kalın astarlı zarfların, perdelerin, hatta bazen tuğla duvarların arkasını bile görebiliyordu.

    İsviçreli Cece Leclere, tıp adamlarınca "megavizyon" diye adlandırılan çok üstün bir görme yeteneğine sahipti. Kumaşların, kalın astarlı zarfların, perdelerin, hatta bazen tuğla duvarların arkasını bile görebiliyordu.

  10. Ancak insanlar kendisini hasta ediyordu, çünkü insanların iç organlarını görmek onu tiksindiriyordu.

    Ancak insanlar kendisini hasta ediyordu, çünkü insanların iç organlarını görmek onu tiksindiriyordu.

  11. İspanya'da İnnece Fernandece isimli bir kadın 11.000 geceyi uykusuz geçirmiştir.

    İspanya'da İnnece Fernandece isimli bir kadın 11.000 geceyi uykusuz geçirmiştir.

  12. Hiç uyuyamayan kadın sadece bir defa tıbbi operasyon sırasında 2 kat anestezi etkisiyle uyutulabilmiştir.

    Hiç uyuyamayan kadın sadece bir defa tıbbi operasyon sırasında 2 kat anestezi etkisiyle uyutulabilmiştir.

  13. En uzun kalp durması 4 saattir. Bir Norveçli, Aralık 1987'de denize düşmüş, kalbi durmuş, vücut ısısının düşüklüğü nedeniyle yeniden yaşatılmıştır.

    En uzun kalp durması 4 saattir. Bir Norveçli, Aralık 1987'de denize düşmüş, kalbi durmuş, vücut ısısının düşüklüğü nedeniyle yeniden yaşatılmıştır.

  14. 1898'de gazeteci-yazar Morgan Robinson "Titan" isimli bir kitap yazdı. Kitapta büyük bir yolcu gemisinin okyanusta buzdağına çarpması anlatılıyordu. 14 yıl sonra "Titanic" deniz faciası meydana geldi.

    1898'de gazeteci-yazar Morgan Robinson "Titan" isimli bir kitap yazdı. Kitapta büyük bir yolcu gemisinin okyanusta buzdağına çarpması anlatılıyordu. 14 yıl sonra "Titanic" deniz faciası meydana geldi.

  15. Dünyanın en uzun kadını. 2 metre 36 santimlik Çinli Yao Defen'in ayakkabıları Almanya'da özel yapılıyor.

    Dünyanın en uzun kadını. 2 metre 36 santimlik Çinli Yao Defen'in ayakkabıları Almanya'da özel yapılıyor.

  16. Dünyanın en uzun kadını

    Dünyanın en uzun kadını

  17. Dünyanın en büyük köpeği. Herkül, 1 metreyi aşan boyu ve 128 kiloyu bulan ağırlığıyla yanyana geldiği atlardan bile heybetli görünüyor.

    Dünyanın en büyük köpeği. Herkül, 1 metreyi aşan boyu ve 128 kiloyu bulan ağırlığıyla yanyana geldiği atlardan bile heybetli görünüyor.

  18. Dünyanın en büyük köpeği

    Dünyanın en büyük köpeği

  19. Dünyanın en zehirli hayvanı: Kokoi ok kurbağası. Zehirinin sadece 0,0001 gramı insanın dengesini altüst edebileceği ve insanın ölümüne yol açabileceği saptanmıştır.

    Dünyanın en zehirli hayvanı: Kokoi ok kurbağası. Zehirinin sadece 0,0001 gramı insanın dengesini altüst edebileceği ve insanın ölümüne yol açabileceği saptanmıştır.

  20. Dünyanın en uzun adamı. Boyu 2.90 m

    Dünyanın en uzun adamı. Boyu 2.90 m

  21. Dünyanın en uzun köpeği. Yaşayan en uzun boylu köpek ise 107 santimetrelik boyuyla Gibson oldu.

    Dünyanın en uzun köpeği. Yaşayan en uzun boylu köpek ise 107 santimetrelik boyuyla Gibson oldu.

  22. Dünyanın en büyük iş makinesi. Bu hareketli makine 100 metre yüksekliğinde ve 223 metre uzunluktadır.

    Dünyanın en büyük iş makinesi. Bu hareketli makine 100 metre yüksekliğinde ve 223 metre uzunluktadır.

  23. Dünyanın en büyük iş makinesi.45.500 ton agirligindadır.

    Dünyanın en büyük iş makinesi.45.500 ton agirligindadır.

  24. Dünyanın en küçük oyuncağı

    Dünyanın en küçük oyuncağı

  25. Dünyanın en uzun ve en kısa atı buluştu.

    Dünyanın en uzun ve en kısa atı buluştu.

  26. Dünya'nın en büyük yengeci.

    Dünya'nın en büyük yengeci.

  27. Dünyanın en eski kayası.

    Dünyanın en eski kayası.

  28. Dünyanın en uzun saçlı adamı.

    Dünyanın en uzun saçlı adamı.

  29. Dünyanın en uzun saçlı kadını.

    Dünyanın en uzun saçlı kadını.

  30. Dünyanın en uzun bıyığı olan adamı.

    Dünyanın en uzun bıyığı olan adamı.

  31. Dünyanın en uzun dilli insanı.

    Dünyanın en uzun dilli insanı.

  32. Dünyanın en büyük dönme dolabı. 208 metre (682 ft). 2009 da biten dönme dolapta herbiri 40 kişi taşıyabilecek 48 adet kapsül bulunuyor.

    Dünyanın en büyük dönme dolabı. 208 metre (682 ft). 2009 da biten dönme dolapta herbiri 40 kişi taşıyabilecek 48 adet kapsül bulunuyor.

  33. Dünyanın en büyük dönme dolabı. 208 metre (682 ft). 2009 da biten dönme dolapta herbiri 40 kişi taşıyabilecek 48 adet kapsül bulunuyor.

    Dünyanın en büyük dönme dolabı. 208 metre (682 ft). 2009 da biten dönme dolapta herbiri 40 kişi taşıyabilecek 48 adet kapsül bulunuyor.

  34. Dünyanın en yaşlı insanı 138’inde öldü.

    Dünyanın en yaşlı insanı 138’inde öldü.

  35. Dünyanın en büyük mantarı.

    Dünyanın en büyük mantarı.

  36. Dünyanın en büyük kitap fuarı.

    Dünyanın en büyük kitap fuarı.

  37. Dünyanın en büyük kelebeği.

    Dünyanın en büyük kelebeği.

  38. Dünyanın en küçük harddiski.

    Dünyanın en küçük harddiski.

  39. Dünyanın en büyük motoru. Almanya'nın Zilly kentinde yapılan 4,5 ton ağırlığındaki devasa motosiklet rekorlar kitabına girdi

    Dünyanın en büyük motoru. Almanya'nın Zilly kentinde yapılan 4,5 ton ağırlığındaki devasa motosiklet rekorlar kitabına girdi

  40. Dünya'nın en büyük kaykayı.

    Dünya'nın en büyük kaykayı.

  41. Dünya'nın en büyük kurt kapanı.

    Dünya'nın en büyük kurt kapanı.

  42. Dünya'nın en büyük tohumu.

    Dünya'nın en büyük tohumu.

  43. Dünyanın en dar evi.

    Dünyanın en dar evi.

  44. Dünyanın en büyük camisi

    Dünyanın en büyük camisi

  45. Dünyanın en büyük oteli. 5005 odası ile dünyanın en büyük Otelidir

    Dünyanın en büyük oteli. 5005 odası ile dünyanın en büyük Otelidir

  46. 43,3 hektarlık alanı bulunan otel Las Vegas’ta bulunmaktadır.

    43,3 hektarlık alanı bulunan otel Las Vegas’ta bulunmaktadır.

  47. Dünyanın en büyük kamyonu.

    Dünyanın en büyük kamyonu.

  48. Dünyanın en uzun langırt masası.

    Dünyanın en uzun langırt masası.

16 Ağustos 2013