Her Gün Diş Fırçalayanlar Dikkat! O Hastalığa Yol Açıyor...

O hastalığa yol açıyor...

  1. Sabun, deterjan, şampuan ve diş macunu gibi kimyasal malzemelerinin karaciğer kanserini tetikleyebileceği iddia edildi.

    Sabun, deterjan, şampuan ve diş macunu gibi kimyasal malzemelerinin karaciğer kanserini tetikleyebileceği iddia edildi.

  2. The Independent Gazetesi anti-bakteriyelerde kullanılan Triclosan'ın, insan sağlığı için ne kadar güvenli olduğunun tartışıldığını yazdı.

    The Independent Gazetesi anti-bakteriyelerde kullanılan Triclosan'ın, insan sağlığı için ne kadar güvenli olduğunun tartışıldığını yazdı.

  3. The Independent, biliminsanlarının, anti- bakteriyellerde kullanılan Triclosan'ın kanser ve karaciğer rahatsızlıklarını tetiklediğini ortaya koyan bir araştırmasına yer verdi. Fareler üzerinde yapılan araştırmanın sonuçları hakkında bilgi veren California Üniversitesi'nden Prof. Robert Tukey, geniş kullanım alanı olan Triclosan maddesinin karaciğer toksinlenmesi üzerinde büyük risk oluşturduğunu ifade etti.

    The Independent, biliminsanlarının, anti- bakteriyellerde kullanılan Triclosan'ın kanser ve karaciğer rahatsızlıklarını tetiklediğini ortaya koyan bir araştırmasına yer verdi. Fareler üzerinde yapılan araştırmanın sonuçları hakkında bilgi veren California Üniversitesi'nden Prof. Robert Tukey, geniş kullanım alanı olan Triclosan maddesinin karaciğer toksinlenmesi üzerinde büyük risk oluşturduğunu ifade etti.

  4. Triclosan'ın, kanı temizleyen protein hücrelerine zarar vererek, karaciğere etki ettiği bu etkiyi en aza indirmek için karaciğerin fazla hücre yapımına gitmesinin ise kanseri tetiklediği ifade edildi.

    Triclosan'ın, kanı temizleyen protein hücrelerine zarar vererek, karaciğere etki ettiği bu etkiyi en aza indirmek için karaciğerin fazla hücre yapımına gitmesinin ise kanseri tetiklediği ifade edildi.

  5. Triclosan'ın etkileri konusundaki yoğun endişeler ABD'de bu ürünün denetimini yapan US Food and Drug Administration'ı ( ABD Gıda ve İlaç İaderesi) ürünün etkileri konusunda bir araştırma yapmak üzere harekete geçirdi.

    Triclosan'ın etkileri konusundaki yoğun endişeler ABD'de bu ürünün denetimini yapan US Food and Drug Administration'ı ( ABD Gıda ve İlaç İaderesi) ürünün etkileri konusunda bir araştırma yapmak üzere harekete geçirdi.

  6. FDA yetkilileri, yapılan araştırmalar sonunda Triclosan'ın kullanımı konusunda herhangi bir değişikliğe gidilmesi için gerekli delilerin olmadığı açıklamasında bulundu.

    FDA yetkilileri, yapılan araştırmalar sonunda Triclosan'ın kullanımı konusunda herhangi bir değişikliğe gidilmesi için gerekli delilerin olmadığı açıklamasında bulundu.

  7. Bununla birlikte California Üniversitesi'nden Prof. Bruce Hammock, son bulguların tüketicilere verilen bilgileri değiştireceğini ve bu konuda tüketicilerin daha da bilinçlendirileceğini ifade etti.

    Bununla birlikte California Üniversitesi'nden Prof. Bruce Hammock, son bulguların tüketicilere verilen bilgileri değiştireceğini ve bu konuda tüketicilerin daha da bilinçlendirileceğini ifade etti.

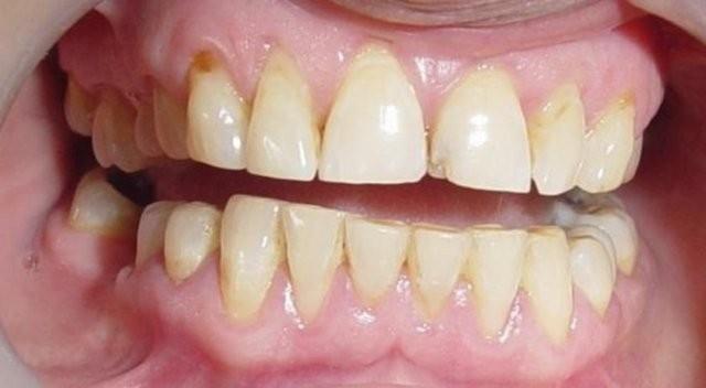
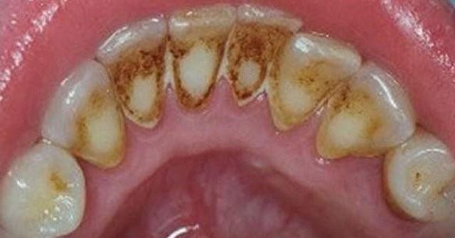
  8. Benekli bir gülümseme, ağzında birçok mikrop olduğu anlamına gelir ve bunlar da diş eti rahatsızlıklarına yol açabilir.

    Benekli bir gülümseme, ağzında birçok mikrop olduğu anlamına gelir ve bunlar da diş eti rahatsızlıklarına yol açabilir.

  9. Diş konusundaki sohbetler genelde sıkıcı olur, değil mi? Belki de artık önyargılarından kurtulmanın zamanı gelmiştir.

    Diş konusundaki sohbetler genelde sıkıcı olur, değil mi? Belki de artık önyargılarından kurtulmanın zamanı gelmiştir.

  10. Son araştırmalar gösteriyor ki, ağzının içinde olup bitenler bedeninin bambaşka yerlerinde olanlara dair ipucu veriyor;

    Son araştırmalar gösteriyor ki, ağzının içinde olup bitenler bedeninin bambaşka yerlerinde olanlara dair ipucu veriyor;

  11. hem de beyninden özel bölgelerine kadar! Basit bir diş eti rahatsızlığı, bilişsel zayıflamadan diyabete, hatta cinsel yolla bulaşan hastalıklara kadar birçok korkutucu sorunun habercisi olabilir.

    hem de beyninden özel bölgelerine kadar! Basit bir diş eti rahatsızlığı, bilişsel zayıflamadan diyabete, hatta cinsel yolla bulaşan hastalıklara kadar birçok korkutucu sorunun habercisi olabilir.

  12. American Dental Association (ADA) Sözcüsü Diş Eti Hastalıkları Uzmanı Sally Cram, “Ağızdaki bir enfeksiyon yalnızca orada kalmaz. Kan dolaşımı yoluyla bedeninde dolaşır, organlarını ve bağışıklık sistemini etkiler” diyor.

    American Dental Association (ADA) Sözcüsü Diş Eti Hastalıkları Uzmanı Sally Cram, “Ağızdaki bir enfeksiyon yalnızca orada kalmaz. Kan dolaşımı yoluyla bedeninde dolaşır, organlarını ve bağışıklık sistemini etkiler” diyor.

  13. ADA tarafından yapılan bir araştırmaya göre, yetişkinlerin yalnızca çok küçük bir bölümü düzenli olarak diş hekimine gidiyor.

    ADA tarafından yapılan bir araştırmaya göre, yetişkinlerin yalnızca çok küçük bir bölümü düzenli olarak diş hekimine gidiyor.

  14. Senede iki kere gitmen gereken diş hekimi randevularını kaçırman, kar topunun büyüyüp büyük bir çığ olmasına izin vermen demek.

    Senede iki kere gitmen gereken diş hekimi randevularını kaçırman, kar topunun büyüyüp büyük bir çığ olmasına izin vermen demek.

  15. Amerikan Periodontoloji Akademisi Başkanı Diş Hekimi Stuart Froum,

    Amerikan Periodontoloji Akademisi Başkanı Diş Hekimi Stuart Froum,

  16. Küçük bir oral problem olarak başlayan rahatsızlıklar büyük sağlık sorunlarına dönüşebiliyor” diyor.

    Küçük bir oral problem olarak başlayan rahatsızlıklar büyük sağlık sorunlarına dönüşebiliyor” diyor.

  17. Diş hekimi koltuğuna geri dön ve bu uyarı işaretlerine

    Diş hekimi koltuğuna geri dön ve bu uyarı işaretlerine

  18. Tabi ki dün gece yediğin sarımsaklı ekmek yüzünden de olabilir.

    Tabi ki dün gece yediğin sarımsaklı ekmek yüzünden de olabilir.

  19. Ancak ağız kokun iki haftadır geçmediyse, sebebinin diş eti rahatsızlığı olma ihtimali yüksek.

    Ancak ağız kokun iki haftadır geçmediyse, sebebinin diş eti rahatsızlığı olma ihtimali yüksek.

  20. Froum, “Ağız kokusuna sebep olan bakteriler ağızdaki sağlıklı bakterilerle karıştığında buharlaşabilen sülfür bileşenler oluşturur” diyor.

    Froum, “Ağız kokusuna sebep olan bakteriler ağızdaki sağlıklı bakterilerle karıştığında buharlaşabilen sülfür bileşenler oluşturur” diyor.

  21. Bu da kötü bir nefes kokusu demek.

    Bu da kötü bir nefes kokusu demek.

6 Nisan 2016