Aşırı Telefon Kullanımı Gençlerin İskelet Yapılarını Bozuyor!

Yoğun telefon kullanımının gençlerin iskelet yapılarında da değişikliklere yol açtığını ortaya çıkarttı.

  1. Avustralya’daki bilim adamaları Dr. David Shahar ve Prof. Mark Sayers yaptığı araştırma sonrası yoğun telefon kullanımının gençlerin iskelet yapılarında da değişikliklere yol açtığını ortaya çıkarttı.

    Avustralya’daki bilim adamaları Dr. David Shahar ve Prof. Mark Sayers yaptığı araştırma sonrası yoğun telefon kullanımının gençlerin iskelet yapılarında da değişikliklere yol açtığını ortaya çıkarttı.

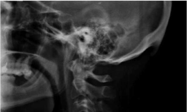
  2. Avustralya’daki Sunshine Coast Üniversitesi’den bilim adamları Dr. David Shahar ve Prof. Mark Sayers, 18-30 yaş arasındaki 218 kişinin röntgen çekimlerini inceledi. Yapılan araştırmalar sonucu röntgen çekilen kişilerin neredeyse yarısının kafatası şeklinin yoğun cep telefonu ve tablet kullanımına bağlı olarak ‘değiştiği’, boynuzumsu bir çıkıntıya benzediği belirtildi.

    Avustralya’daki Sunshine Coast Üniversitesi’den bilim adamları Dr. David Shahar ve Prof. Mark Sayers, 18-30 yaş arasındaki 218 kişinin röntgen çekimlerini inceledi. Yapılan araştırmalar sonucu röntgen çekilen kişilerin neredeyse yarısının kafatası şeklinin yoğun cep telefonu ve tablet kullanımına bağlı olarak ‘değiştiği’, boynuzumsu bir çıkıntıya benzediği belirtildi.

  3. Yapılan araştırmaya göre, gününün büyük kısmında teknolojik aletlere kafasını eğerek bakan gençlerin, kafatasındaki oksipital kemik denen bölge, görünür şekilde belirginleşmeye başlıyor.

    Yapılan araştırmaya göre, gününün büyük kısmında teknolojik aletlere kafasını eğerek bakan gençlerin, kafatasındaki oksipital kemik denen bölge, görünür şekilde belirginleşmeye başlıyor.

  4. Her 4 gençten birinde görülen bu durum, dijital ekranlar karşısında geçirilen süreyle ilgili endişelere bir yenisini daha ekliyor.

    Her 4 gençten birinde görülen bu durum, dijital ekranlar karşısında geçirilen süreyle ilgili endişelere bir yenisini daha ekliyor.

  5. 10 yıldır gözlemleniyor  </b>  Bilim adamı David Shaharr, 20 yıldır klinik tedavi uzmanı olduğunu belirterek &#8220;Ancak sadece son 10 yıldır hastalarımın kafatasındaki büyümeyi gözlemliyorum&#8221; açıklamasını yaptı.

    10 yıldır gözlemleniyor Bilim adamı David Shaharr, 20 yıldır klinik tedavi uzmanı olduğunu belirterek “Ancak sadece son 10 yıldır hastalarımın kafatasındaki büyümeyi gözlemliyorum” açıklamasını yaptı.

  6. Ensenin üstünde sivrilen 10-30 milimetre arasında değişen çıkıntıya, &#8216;dış oksipital kabartı&#8217; deniyor. Dış oksipital kabartıya, taşınabilir dijital cihazlar yaygınlaşmaya başlamadan önce daha çok yaşlı insanlarda rastlandığı, gençlerde ise oldukça nadiren rastlandığı belirtiliyor.

    Ensenin üstünde sivrilen 10-30 milimetre arasında değişen çıkıntıya, ‘dış oksipital kabartı’ deniyor. Dış oksipital kabartıya, taşınabilir dijital cihazlar yaygınlaşmaya başlamadan önce daha çok yaşlı insanlarda rastlandığı, gençlerde ise oldukça nadiren rastlandığı belirtiliyor.

  7. Kafatasındaki çıkıntının, iskelet yapısında uzun süre baskıya maruz kalmış kişilerde rastlanması hesaba katıldığında, uzun süre cep telefonu ekranına bakmanın da benzer etkiyi yarattığı söylenebilir.

    Kafatasındaki çıkıntının, iskelet yapısında uzun süre baskıya maruz kalmış kişilerde rastlanması hesaba katıldığında, uzun süre cep telefonu ekranına bakmanın da benzer etkiyi yarattığı söylenebilir.

22 Haziran 2019