Beyninin Yüzde 90'I Olmayan Adam!

Bilim insanlarını şaşırtan vaka

  1. Beynimizin yalnızca yüzde 10'unu kullandığımız efsanesi bilim insanları tarafından kesin bir dille çürütüldü, ancak beyin hakkında hâlâ bilmediğimiz çok şey var.    Bilim insanlarının onlarca yıldır kafasını karıştıran bir vaka da bunların başında geliyor.

    Beynimizin yalnızca yüzde 10'unu kullandığımız efsanesi bilim insanları tarafından kesin bir dille çürütüldü, ancak beyin hakkında hâlâ bilmediğimiz çok şey var. Bilim insanlarının onlarca yıldır kafasını karıştıran bir vaka da bunların başında geliyor.

  2. Yıllar önce kimliği bilinmeyen Fransız bir adamın beyninin yüzde 90'ının eksik olduğu ancak normal bir yaşam sürdüğü tespit edildi.    Bu durum, beyin ve insan bilinci hakkında var olan bilgileri yeniden sorgulamaya yol açtı.

    Yıllar önce kimliği bilinmeyen Fransız bir adamın beyninin yüzde 90'ının eksik olduğu ancak normal bir yaşam sürdüğü tespit edildi. Bu durum, beyin ve insan bilinci hakkında var olan bilgileri yeniden sorgulamaya yol açtı.

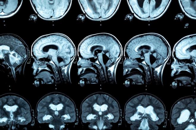
  3. KAFATASI SIVI İLE DOLU    2007 yılında The Lancet dergisinde yayımlanan bu hikaye, bilim dünyasında büyük bir yankı uyandırdı.    44 yaşındaki adam bacağında güçsüzlük hissi yaşaması üzerine doktora gitti. Yapılan muayenede, beyninin büyük bir kısmının kayıp olduğu ve kafatasının sıvı ile dolu olduğu belirlendi. Bu durum hidrosefali olarak biliniyor.

    KAFATASI SIVI İLE DOLU 2007 yılında The Lancet dergisinde yayımlanan bu hikaye, bilim dünyasında büyük bir yankı uyandırdı. 44 yaşındaki adam bacağında güçsüzlük hissi yaşaması üzerine doktora gitti. Yapılan muayenede, beyninin büyük bir kısmının kayıp olduğu ve kafatasının sıvı ile dolu olduğu belirlendi. Bu durum hidrosefali olarak biliniyor.

  4. NORMAL BİR YAŞAM SÜRÜYOR    Bilişsel psikolog Axel Cleeremans, adamın normal bir yaşam sürdüğünü, bir ailesi ve işi bulunduğunu belirtti. Adamın IQ testi 84 olarak ölçüldü. Normal aralığın biraz altında ancak bu durum adamın yaşamını etkilemedi.

    NORMAL BİR YAŞAM SÜRÜYOR Bilişsel psikolog Axel Cleeremans, adamın normal bir yaşam sürdüğünü, bir ailesi ve işi bulunduğunu belirtti. Adamın IQ testi 84 olarak ölçüldü. Normal aralığın biraz altında ancak bu durum adamın yaşamını etkilemedi.

  5. Çocukken bir stentle tedavi edilen adamın, stent çıkarıldıktan sonra beyninin büyük kısmı aşınmıştı. Beyin taramalarında, beyin dokusunun büyük kısmının sıvı ile dolduğu ve tahrip olduğu gözlemlendi.

    Çocukken bir stentle tedavi edilen adamın, stent çıkarıldıktan sonra beyninin büyük kısmı aşınmıştı. Beyin taramalarında, beyin dokusunun büyük kısmının sıvı ile dolduğu ve tahrip olduğu gözlemlendi.

  6. "BİLİNÇ TEKRAR ÖĞRENİLİYOR"    Cleeremans bu durumu  "Beyin, bilinçle doğmuyor. Bilinç tekrar tekrar öğreniliyor. Daha sade bir ifadeyle; beyin, bir şekilde yaşamanın ve öğrenmenin yolunu buluyor" ifadeleriyle açıklıyor.     Beynin sürekli ve bilinçsizce kendi etkinliğini kendisine yeniden tanımlamayı öğrendiğini ve bu açıklamaların bilinçli deneyimin temelini oluşturduğunu iddia ediyor.

    "BİLİNÇ TEKRAR ÖĞRENİLİYOR" Cleeremans bu durumu "Beyin, bilinçle doğmuyor. Bilinç tekrar tekrar öğreniliyor. Daha sade bir ifadeyle; beyin, bir şekilde yaşamanın ve öğrenmenin yolunu buluyor" ifadeleriyle açıklıyor. Beynin sürekli ve bilinçsizce kendi etkinliğini kendisine yeniden tanımlamayı öğrendiğini ve bu açıklamaların bilinçli deneyimin temelini oluşturduğunu iddia ediyor.

  7. Bu durum, bilincin beyinle ilişkisi hakkındaki mevcut teorileri sorgulamaya yol açtı. Bilim insanları, belirli beyin bölgelerinin bilinçten sorumlu olmadığına dair yeni teoriler geliştirdi. Ayrıca, yetişkin beyinlerinin yaralanma durumunda farklı bölümlerin yeni roller üstlenebileceği öne sürülmektedir.

    Bu durum, bilincin beyinle ilişkisi hakkındaki mevcut teorileri sorgulamaya yol açtı. Bilim insanları, belirli beyin bölgelerinin bilinçten sorumlu olmadığına dair yeni teoriler geliştirdi. Ayrıca, yetişkin beyinlerinin yaralanma durumunda farklı bölümlerin yeni roller üstlenebileceği öne sürülmektedir.

22 Ağustos 2024