Amalgam Dolgu Tehlike Saçıyor!

İçinde cıva bulunan amalgam dolgu, 50 çeşit hastalığa sebep olabiliyor.

  1. İçinde cıva bulunan ve sağlığa zararlı olan amalgam dolguyu, Türkiye'deki diş hekimlerinin yüzde 75'i hala kullanıyor.

    İçinde cıva bulunan ve sağlığa zararlı olan amalgam dolguyu, Türkiye'deki diş hekimlerinin yüzde 75'i hala kullanıyor.

  2. Dr. Engin Tutkun, bu dolguların uzun vadede alzheimer, böbrek yetmezliği, kalp yetmezliği ve şizofreni gibi 50 hastalığa yol açtığını ifade etti.

    Dr. Engin Tutkun, bu dolguların uzun vadede alzheimer, böbrek yetmezliği, kalp yetmezliği ve şizofreni gibi 50 hastalığa yol açtığını ifade etti.

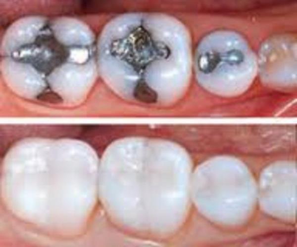
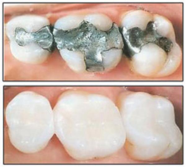
  3. İçinde civa olan amalgamların yasaklanmasını, bunun yerine kompozit dolgunun kullanılmasını gerektiğini belirtti.

    İçinde civa olan amalgamların yasaklanmasını, bunun yerine kompozit dolgunun kullanılmasını gerektiğini belirtti.

  4. <p><b>SOLUNUMLA GİRİYOR</b></p>   Amalgam karışımının içinde yüze 50 oranında cıva bulunuyor.

    SOLUNUMLA GİRİYOR

    Amalgam karışımının içinde yüze 50 oranında cıva bulunuyor.

  5. Cıvanın sanayide de kullanıldığına dikkat çeken Tutkun, bu dolgularda yüzde 35 gümüş, yüzde 9 kalay, yüzde 6 bakır ve çok az miktarda da çinko bulunduğunu ifade etti.

    Cıvanın sanayide de kullanıldığına dikkat çeken Tutkun, bu dolgularda yüzde 35 gümüş, yüzde 9 kalay, yüzde 6 bakır ve çok az miktarda da çinko bulunduğunu ifade etti.

  6. "Ağızdan salınan amalgam, bir zaman sonra buharlaşıyor ve solunum yolu ile vücuda giriyor. Bu da uzun vadede başta alzheimer, böbrek yetmezliği, kalp hastalıkları ve şizofreni olmak üzere 50 hastalığa davetiye çıkarıyor"

    "Ağızdan salınan amalgam, bir zaman sonra buharlaşıyor ve solunum yolu ile vücuda giriyor. Bu da uzun vadede başta alzheimer, böbrek yetmezliği, kalp hastalıkları ve şizofreni olmak üzere 50 hastalığa davetiye çıkarıyor"

  7. <b>ÇOĞU ÜLKEDE YASAK!</b>

    ÇOĞU ÜLKEDE YASAK!

  8. Sakız çiğnerken 68, tatlı yerken 72, diş fırçalarken 272 mikrogramın ağız içine salındığına dikkat çeken Tutkun, İsveç ve Danimarka'da bu dolgu çeşidinin yasak olduğuna işaret etti.

    Sakız çiğnerken 68, tatlı yerken 72, diş fırçalarken 272 mikrogramın ağız içine salındığına dikkat çeken Tutkun, İsveç ve Danimarka'da bu dolgu çeşidinin yasak olduğuna işaret etti.

  9. Fransa'daki hekimlerin de geçen seneden bu yana amalgam yerine kompozit dolgu kullanmaya başladığını belirtti.

    Fransa'daki hekimlerin de geçen seneden bu yana amalgam yerine kompozit dolgu kullanmaya başladığını belirtti.

  10. Amalgamın yerleştirilmesi ve sökülmesi sırasında cıvanın açığa çıktığını kaydeden Tutkun, iş sağlığı açısından da bu dolgunun yasaklanması gerektiğini vurguladı. Bu dolgunun çocuklarda da otizme neden olduğunu vurguladı.

    Amalgamın yerleştirilmesi ve sökülmesi sırasında cıvanın açığa çıktığını kaydeden Tutkun, iş sağlığı açısından da bu dolgunun yasaklanması gerektiğini vurguladı. Bu dolgunun çocuklarda da otizme neden olduğunu vurguladı.

  11. "Amalgam dolgunun daha ucuz maliyeti olduğu söyleniyor. Fakat uzun vadede parkinson, psikiyatrik bozukluklar, cilt problemleri, kas iskelet rahat-sızlıkları ve hipertansiyona neden oluyor."

    "Amalgam dolgunun daha ucuz maliyeti olduğu söyleniyor. Fakat uzun vadede parkinson, psikiyatrik bozukluklar, cilt problemleri, kas iskelet rahat-sızlıkları ve hipertansiyona neden oluyor."

  12. Avrupa ülkelerinde amalgam dolgu çeşidinin kullanım oranı düşük.

    Avrupa ülkelerinde amalgam dolgu çeşidinin kullanım oranı düşük.

  13. Almanya'da amalgam kullanma oranı yüzde 10 iken İtalya'da yüzde 3, Finlandiya ve Estonya'da yüzde 5, İspanya'da yüzde 26, Belçika'da ise yüzde 32 oranında amalgam dolgular kullanılıyor. Türkiye'de ise bu oranın yüzde 75 oranında olduğu aktarıldı.

    Almanya'da amalgam kullanma oranı yüzde 10 iken İtalya'da yüzde 3, Finlandiya ve Estonya'da yüzde 5, İspanya'da yüzde 26, Belçika'da ise yüzde 32 oranında amalgam dolgular kullanılıyor. Türkiye'de ise bu oranın yüzde 75 oranında olduğu aktarıldı.

  14. <b>HAMİLELER DOLGUYU ÇIKARTTIRMALI</b>

    HAMİLELER DOLGUYU ÇIKARTTIRMALI

  15. Civanın kana karışabileceğini uyarısında bulunan beslenme uzmanı Prof. Dr. Ahmet Aydın, amalgam dolguda bulanan civaların zaman içinde kronik zehirlenmelere neden olabileceğini belirtti. Kompozit dolguların kullanılması gerektiğini kaydetti.

    Civanın kana karışabileceğini uyarısında bulunan beslenme uzmanı Prof. Dr. Ahmet Aydın, amalgam dolguda bulanan civaların zaman içinde kronik zehirlenmelere neden olabileceğini belirtti. Kompozit dolguların kullanılması gerektiğini kaydetti.

  16. Amalgam dolguya karışı olduğunu söyleyen Aydın, ama-lgamda bulanan cıvanın, hamilelerden bebeklerine geçebileceğini ifade etti. Aydın, amalgamların hamilelikten 6 ay önce çıkartılmasını önerdi.

    Amalgam dolguya karışı olduğunu söyleyen Aydın, ama-lgamda bulanan cıvanın, hamilelerden bebeklerine geçebileceğini ifade etti. Aydın, amalgamların hamilelikten 6 ay önce çıkartılmasını önerdi.

  17. Otizmin tek nedeni olarak amalgamı göstermek doğru değil, ancak bu etkenlerden biri de cıva olabilir.

    Otizmin tek nedeni olarak amalgamı göstermek doğru değil, ancak bu etkenlerden biri de cıva olabilir.

12 Aralık 2013