Sivaslı doktor implantı tarihe gömdü

Sivas Cumhuriyet Üniversitesi Diş Hekimliği Fakültesi Restoratif Diş Tedavisi Ana Bilim Dalı Öğretim Üyesi Prof. Dr. İhsan Hubbezoğlu, sağlam diş köklerine Cam Fiber Post uygulayıp, implanttan çok daha sağlam dişleri 4 seansta yapıyor.

Kaynak : İhlas Haber Ajansı
Haber Giriş : 28 Kasım 2025 21:28, Son Güncelleme : 28 Kasım 2025 22:27
Sivaslı doktor implantı tarihe gömdü

Günümüzde diş tedavilerinde çıkar yol olarak görülen implant tedavisi kimi zaman sağlığa kavuştursa da kimi zaman ise olumsuzluklara yol açabiliyor. Çene içerisine vidalamak suretiyle gerçekleştirilen implant tedavisi, bazı hastaların çene yapısına uymayarak enfeksiyon ve kırılmalara neden oluyor. Birçok kişi çenesine vidalattığı implantları sökmek zorunda kalıyor.

- İhsan Hubbezoğlu sağlam diş köklerine Cam Fiber Post uyguluyor

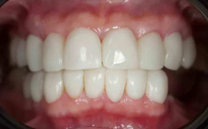
İmplant tedavisini minimuma indirmek, restorasyonu mümkün olmayan sadece diş kökü kalmış dişleri geri kazandırmak için 2 yıllık araştırma yapan Sivas Cumhuriyet Üniversitesi Diş Hekimliği Fakültesi Restoratif Diş Tedavisi Ana Bilim Dalı Öğretim Üyesi Prof. Dr. İhsan Hubbezoğlu, sağlam diş köklerine Cam Fiber Post uygulayıp, implanttan çok daha sağlam dişleri 4 seansta yapıyor.

Kahramanmaraş merkezli meydana gelen 2 büyük depremden etkilenen ve yapımında fiber kullanılan binalardan ilham alan Hubbezoğlu, sorunlu dişleri Cam Fiber Post uygulaması ile kurtarıp üzerine Direkt Kompozit Lamina Uygulaması yaparak 4 seansta tamamlıyor. Hastalara herhangi bir anestezi uygulanmazken, birkaç günde eski sağlıklarına kavuşması amaçlanıyor.

"Klinik bir vakaydım, aynaya bakamayacak hale gelmiştim"

Almanya'da şifa bulamayıp Sivas'ta çare arayan Fatma Hizmetli Okumuş, "Hem tatil amaçlı geldim hem de dişlerime baktırmak amaçlı Sivas'a geldim. Sivas Cumhuriyet Üniversitesi'ne başvurdum. Ben implant ve zirkonyum tedavisi düşünüyordum. Beni İhsan hocama yönlendirdiler. İhsan hocam zirkonyumdan daha iyi bir tedavi önerdi. Lamina diye yeni bir tedavi ile tanıştım. Belki aylar sürecek bir tedaviden sadece birkaç günde bu hale geldim. Klinik bir vakaydım, aynaya bakamayacak hale gelmiştim. Sadece birkaç seansta bütün dişlerimi kompozit lamina yaptı. Diş estetiğimi yaptı, çürüklerimi kapattı. Ayrıca sadece kökü kalan 2 dişime yeni bir diş yaptı. Kesinlikle ağrı, acı duymadım. Anestezi olmadı ama kesinlikle ağrı, acı hissetmedim" ifadelerine yer verdi.

- Diş tedavilerinde son yıllardaki trend doğal yaklaşım. Dişleri kesmiyoruz

Sivas Cumhuriyet Üniversitesi Diş Hekimliği Fakültesi Restoratif Diş Tedavisi Ana Bilim Dalı Öğretim Üyesi Prof. Dr. İhsan Hubbezoğlu, "Fakültede yapılmayan farklı bir şey yapmayı düşündük. Diş tedavilerinde son yıllardaki trend doğal yaklaşım. Hastaların doğal dişlerini koruyarak neler yapabiliriz diye düşündük. Amacımız dişleri kesmeden, minimum aşındırmalarla çalışmaya başladık. Yaklaşık 2 yıldır bu işlerle uğraşıyorum. Dişleri kurtarmak için özel cam fiber postlar bulduk. Önceden vidalı postları çakarken dişler kırılabiliyor, çatlayabiliyor ya da bizim kullandığımız ön bölgede estetik durmuyordu...

Hastanın sadece kökü bile olsa onları kurtarmaya başladık. Bizim yaptığımız estetik dolgu değil. Çok daha fazlası. Hastanın gülüş tasarımına estetik olarak neler yapabiliriz? Hastanın gülüşünü baştan oluşturabilir miyiz? Bununla ilgili çalışmaya başladık. Direkt kompozit laminalar Türkiye'de birçok yerde yapılıyor. Ama bunlar kısıtlı olarak yapılıyordu. Yaklaşık 100 hastadan 3-4 tanesine yapılıyordu. Ortodontik tedavi gören, dişleri görünür olan ve kapanış bozukluğu olmayan hastalarda yapılıyordu. Bunu biraz daha geliştirerek her gördüğüm 5 hastanın 4'üne yapmayı başardık" diye konuştu.

- Hastanın kökünün çekilip implant yapılmasına ya da sağlam dişin çekilip zirkonyum yapılmasına karşıyız.

Uzun süren test aşamalarını tamamlayarak en iyi malzemeleri seçtiklerini ifade eden Prof. Dr. Hubbezoğlu, "Hangisinin iyi, hangisinin kötü olduğunu bilmediğimiz için bunlarla ilgili 5 tez çalışması yaptık. Bunlardan en iyi kompoziti, en iyi yapıştırıcıyı seçtik. En iyi polisaj sistemi, en iyi el aletlerini seçerek bunların en iyi kombinasyonunu bir araya getirerek gülüş tasarımı yapmaya başladık. Vücudumuzun en sağlam dokusu mine. Mine dokusu kesilip yok ediliyor. Ben buna karşıyım. Hastanın kökünün çekilip implant yapılmasına ya da sağlam dişin çekilip zirkonyum yapılmasına karşıyız. Bu amaçla dişleri kesmeden, şekil bozukluğunu, 15-20 derece eğime kadar olan dişleri düzeltebiliyoruz. Çürükleri varsa bunlar temizleniyor. Temizlendikten sonra dişine uygun bir şekilde tek tek el sanatı ile işleyerek yapıyoruz. Herhangi bir anestezi yapmıyoruz. Laboratuvar yok, teknisyen yok. 2-3 gün gibi kısa bir sürede, üst dişler ve alt dişler 2'şer seansta bitmiş oluyor" şeklinde konuştu.

Cam fiber uygulamasında depremden etkilendi

Aslen Hataylı olan Hubbezoğlu, "Depremden sonra binalar yapılırken güçlendirmelerin fiberle yapıldığını gördük. Biz de bunları dişte uygulamaya başladık. Cam fiberle yaptığım yaklaşık 280 vaka var, kırılan 1 tane bile yok. Yaklaşık bin 800'den fazla hastada Direkt Kompozit Lamina yapıldı. Bunu yaparken depremden etkilendim. 2 dayım da göçükte kalarak vefat etti. Ondan sonra da biz bu dişleri nasıl kurtarabiliriz diye doğal doku dostu materyaller aradık. Amacımız dişler çekilmesin, kesilmesin, implant olmasın diye uğraşıyoruz. Yeter ki kök olsun. Allah'ın yarattığı yapıyı koruyarak içine cam fiber post koyarak hasta aynı gün yemek yemeye başlıyor" ifadelerine yer verdi.

Bu Habere Tepkiniz

Sonraki Haber